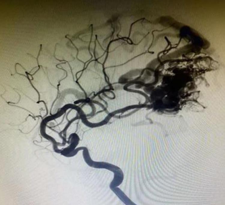
Lava -12 Вътрекраниални аневризми Течна емболична система
Когато лаваTmИнтракраниалната аневризми Течната емболична система контактува с кръвта или всеки воден разтвор, повърхността му незабавно ще се втвърди и ще образува защитен филм. DMSO в емболичния агент се разрежда и дифузира в кръвта, така че танталумният прах, обвит от EvOH, се утаява и се втвърдява отвън от вътрешната страна. В същото време лавата се дифузира до далеч под налягането на инжектиране. Накрая, той образува гъсто емболно тяло в положението на емболизацията.

ЛаваTmСистемата за емболизация на аневризма е направена от неадхезивен материал, така че е по-безопасна и незалепваща катетъра.
Това е уникална формула с ниска вискозитет с пълна гама от модели lava -12, lava -18 и lava -34.
Има по -добра дисперсия и проникване. и може дълбоко да проникне в лезията и да достигне до дисталния съд.
Танталумният прах е по -фин, по -бавно утайка и по -ясно рентгенография в сравнение с конкурентите.

Бележки заИнтракраниална аневризми течна емболична система
● Наблюдавайте дали течният емболен агент на лавата се втвърдява, ако е така, той трябва да бъде размразен първо.
● Поставете Lava течно емболен агент върху вибратора.
● Регулирайте вибратора до високото ниво.
● Не по -малко от 20 минути за разклащане
● Докато се използва.
|
Код на продукта |
Вискозитет |
Описания |
|
Lava -12 |
12 CST |
По -нисък вискозитет, по -течен, за дистални микросъдове; |
|
Lava -18 |
18 CST |
Стандартна формула, обща употреба; |
|
Lava -34 |
34 CST |
По -висок вискозитет, за съдове с висок поток. |











